Recupera tu vida sonriendo en grande

¿Qué es la periodoncia?

La periodoncia es el campo de la odontología que se encarga de dar tratamiento y solución a las llamadas enfermedades periodontales como la periodontitis y la gingivitis. Estas patologías afectan a más de la mitad de la población mayor de 35 años y es la principal causa de pérdida dental en adultos.

¿Qué son la gingivitis y la periodontitis?

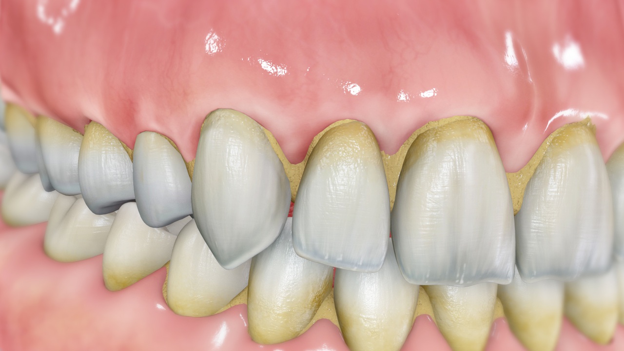
La gingivitis y la periodontitis son dos tipos de enfermedades periodontales que afectan al tejido que sirve de soporte a nuestros dientes, es decir, las encías, y están causadas principalmente por bacterias. Según el estado de la enfermedad se tratará de gingivitis y periodontitis.

  1. Gingivitis: en este momento, la infección afecta solo a la encía que se inflama, enrojece y empieza a sangrar. Este proceso es reversible detectado de forma temprana.

  2. Periodontitis: si la gingivitis no se trata a tiempo, la enfermedad deriva hasta convertirse en una periodontitis. Además de los anteriores signos que hemos visto en la encía, la infección penetra por debajo de la encía formando bolsas periodontales, atacando la raíz y el hueso que sujeta al diente pudiendo provocar incluso su pérdida. La periodontitis es irreversible y, además, puede repercutir negativamente en ciertos aspectos de nuestra salud general.

Causas de las enfermedades periodontales

La principal razón es la acumulación de bacterias entre la encía y los dientes. Es importante destacar que si no se retiran los restos de alimentos, se convierten en placa bacteriana. Con el paso del tiempo, esta placa se transforma en sarro pudiendo llegar incluso a introducirse por debajo de las encías. En ese punto, solo un odontólogo puede retirar ese sarro. Por eso, es necesario tener unos hábitos bucodentales correctos y utilizar las técnicas apropiadas de cepillado.

Causas de las enfermedades periodontales

La principal razón es la acumulación de bacterias entre la encía y los dientes. Es importante destacar que si no se retiran los restos de alimentos, se convierten en placa bacteriana. Con el paso del tiempo, esta placa se transforma en sarro pudiendo llegar incluso a introducirse por debajo de las encías. En ese punto, solo un odontólogo puede retirar ese sarro. Por eso, es necesario tener unos hábitos bucodentales correctos y utilizar las técnicas apropiadas de cepillado.

Cómo identificar las enfermedades periodontales

Las enfermedades periodontales no suelen causar dolor. Unas encías rojas, inflamadas o que sangren pueden ser algunos de los primeros signos de alarma, aunque también tener mal aliento o que los dientes parezcan “flojos” puede ser un reflejo más avanzado de la enfermedad. El diagnóstico final debe realizarlo el odontólogo o periodoncista. De igual manera, si detectamos alguno de estos síntomas, lo mejor es acudir a la clínica para que nos puedan hacer una valoración del tratamiento periodontal más adecuado.

Tratamientos para la periodontitis y gingivitis

Si nos encontramos ante una periodontitis (primera fase de la enfermedad), la periodoncia consiste en realizar una limpieza dental profesional en clínica en clínica para eliminar la placa bacteriana y el sarro acumulado en nuestros dientes. Es fundamental que el paciente se implique en la prevención de esta patología a través de unos correctos hábitos de higiene.

Factores de riesgo

Son numerosos los factores de riesgo asociados al desarrollo de esta enfermedad:

  1. Tabaco. Los tejidos bucales están expuestos a una alta dosis de nicotina. Esta sustancia provoca una disminución de los signos relacionados con la periodontitis, tales como el sangrado, el enrojecimiento o la inflamación. Sin embargo, un fumador tiene mayor pérdida ósea, bolsas periodontales más profundas y mayor riesgo de recesión de las encías.

  2. Cambios hormonales en la mujer. Es frecuente que los cambios hormonales que sufre la mujer en diferentes momentos de su vida provoquen alteraciones en las encías que se vuelven más sensibles.

  3. Diabetes. Las personas que sufren diabetes tienen mayor riesgo de desarrollar infecciones, entre ellas periodontitis. Mientras que las personas con periodontitis pueden aumentar la resistencia a la insulina.

  4. Diabetes. Las personas que sufren diabetes tienen mayor riesgo de desarrollar infecciones, entre ellas periodontitis. Mientras que las personas con periodontitis pueden aumentar la resistencia a la insulina.

  5. Estrés. El estrés puede provocar que el cuerpo tenga más dificultad para luchar contra las infecciones, como por ejemplo, una enfermedad periodontal.

  6. Ingesta de medicamentos. Ciertos medicamentos, como los antidepresivos, pueden afectar a la salud bucal porque disminuyen la producción de saliva, que es un agente higienizante.